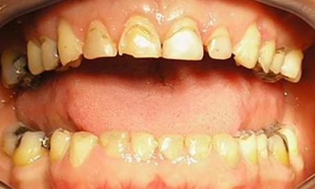
Situación inicial

Deja un comentario