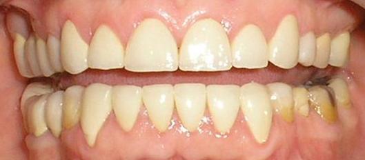
Rehabilitación Integral y Estética
Centro Odontológico / Dr. Mauricio Parra Sandoval
Múltiples coronas
Δ