Rehabilitación Integral y Estética
Centro Odontológico / Dr. Mauricio Parra Sandoval
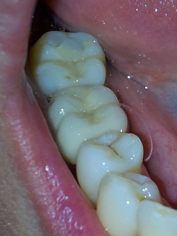
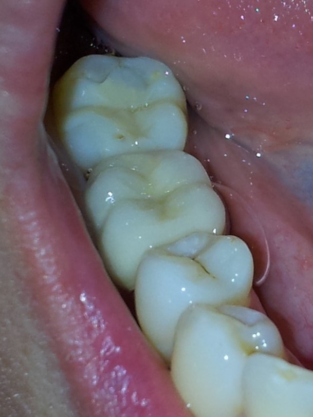
Diente rehabilitado
Δ