Ir directamente al contenido
Rehabilitación Integral y Estética
Centro Odontológico / Dr. Mauricio Parra Sandoval
Menú
Quienes Somos
Dental
Facial
Por qué preferirnos
Equipamiento
«Opiniones»
Reserva tu cita
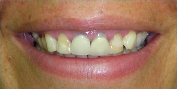
Fija4
Antes
Me gusta
Cargando...
Deja un comentario
Cancelar la respuesta
Δ
Image navigation
Suscribirse
Suscrito
Rehabilitación Integral y Estética
Suscríbeme
¿Ya tienes una cuenta de WordPress.com?
Inicia sesión
.
Rehabilitación Integral y Estética
Suscribirse
Suscrito
Regístrate
Iniciar sesión
Copiar enlace corto
Denunciar este contenido
Ver la entrada en el Lector
Gestionar las suscripciones
Contraer esta barra
%d